Новини медицини
-
Грибок: чому виникає і як з ним боротися природним способом
Ⓟ Дізнайтеся про Фунгіцин: склад, як діє, як застосовувати та які відгуки залишають реальні покупці. Безпечне рішення для боротьби з грибком.2025-04-21T15:01:09 -
ВООЗ: у жовтні смертність від холери зросла на 54% порівняно з 2023 роком
ВООЗ повідомила про 54-відсоткове зростання смертності від холери у 2024 році, незважаючи на 42-відсоткове зниження кількості випадків захворювання. Спалахи посилюються такими факторами, як конфлікти і зміна клімату. Організація також попередила про критичну нестачу вакцин проти холери, що перешкоджає ефективним заходам реагування.2024-11-22T23:22:30 -
Дія деяких ліків може змінитися під впливом спеки (ВІДЕО)
Ліки від поширених захворювань можуть підвищувати чутливість пацієнтів до спеки, порушуючи реакцію організму на високу температуру, включно зі здатністю потіти і швидкістю кровотоку.2024-08-06T09:46:58 -
Американські педіатри скасували рекомендації відмовитися від грудного вигодовування ВІЛ-позитивним матерям
Жінки з ВІЛ тепер можуть годувати своїх дітей грудьми, якщо вони приймають препарати, що ефективно пригнічують вірус, який викликає СНІД. Ці рекомендації — зміна політики Американської академії педіатрії (AAP), провідної групи педіатрів у країні.2024-05-28T08:49:05 -
У США не використовуватимуть пластикові китайські шприци (ВІДЕО)
Попередження всім американським лікарням та постачальникам медичних послуг: негайно припинити використовувати пластикові шприци, вироблені в Китаї.2024-03-26T07:47:40 -
Результати клінічних випробувань вакцин Pfizer і Moderna проти Covid викликають сумніви
Дослідники стверджують, що упередженість і маніпуляції з клінічними даними про вакцини проти Covid-19 компаній Pfizer і Moderna призвели до перебільшення ефективності вакцин і недооцінки побічних ефектів.2024-03-02T19:33:10 -
Гострі патології хребта: діагностика, лікування та профілактика
Ⓟ Гострі патології хребта становлять значну частину проблем з опорно-руховим апаратом, з якими звертаються пацієнти до лікарів. Вони можуть включати різноманітні стани, від гриж міжхребцевих дисків до раптових травм та запалень, що вимагають негайної уваги та адекватного лікування.2024-02-22T14:11:56 -
Щеплення від грипу: боротьба з ворогом, що не існує
У мікроскопічному світі віруси відіграють різні ролі, підкоряючись природному порядку. Коли один вірус стає активним, інший може перейти в пасивний стан. Це природні закономірності, що видно з сезонних коливань активності вірусів. Втручання людини може порушити ці закономірності, часто створюючи складніші проблеми, багато з яких досі залишаються загадкою.2024-02-18T08:27:57 -
Деякі симптоми COVID-19 у дітей можуть призвести до серйозної помилки в діагнозі
Хоча важкі форми COVID-19 у дітей, як правило, трапляються рідко, дослідження засвідчили, що у дітей можуть спостерігатися ураження мозку і нервів. Вони відчувають головний біль, судоми, периферичну невропатію, інсульт, демієлінізувальні захворювання та енцефалопатію.2024-01-22T08:27:24 -
Чи правда, що вакцина проти віспи ефективно викоренила одну з найсмертоносніших пандемій
Чи існують переконливі докази того, що вакцина проти віспи сприяє подоланню спалахів захворювання? Глибоке занурення в літературу призвело до несподіваних висновків.2024-01-15T09:41:17 -
Нова Зеландія сфальсифікувала дані про вплив на нирки вакцини проти COVID-19
Порівняно з історичними фоновими показниками ниркових ушкоджень, в оригінальній статті йдеться про виявлені зміни гострих ниркових ушкоджень. Ці тривожні результати, що свідчать про значне збільшення пошкоджень нирок, були опубліковані в анотації до оригінальної статті за січень 2023 року.2024-01-15T08:26:10 -
Підваріант COVID-19 JN.1 прибув до США (ВІДЕО)
Напередодні сезону відпусток зростають побоювання з приводу COVID-19. За даними Центру з контролю та профілактики захворювань, 20% випадків захворювань у США припадають на новий підваріант JN.1. А один експерт попереджає, що Китай може приховувати дані щодо цього штаму.2023-12-21T08:38:07 -
У різних країнах зростає кількість випадків мікоплазмової пневмонії у дітей (ВІДЕО)
Китай відповів на запит ВООЗ і надав дані про недіагностовану пневмонію, заявивши, що зростання захворюваності пов'язане із сезонними вірусами.2023-11-29T08:30:28 -
У Гондурасі випустили комарів, які допомагають боротися з лихоманкою денге (ВІДЕО)
Протягом десятиліть профілактика лихоманки денге в Гондурасі полягала в тому, щоб навчити людей боятися комарів і уникати їхніх укусів. Тепер гондурасців знайомлять із потенційно ефективнішим способом боротьби з цим захворюванням, і він суперечить усьому, чого їх вчили.2023-09-24T23:17:22 -
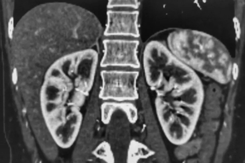
Лікарі США оголосили про успішну пересадку генетично модифікованої нирки свині людині (ВІДЕО)
Хірурги пересадили свинячу нирку людині з померлим мозком, і ось уже понад місяць орган працює нормально. Нью-йоркська команда сподівається в кінцевому підсумку випробувати подібну операцію на живих пацієнтах.2023-08-17T15:36:27 -
Pfizer посилює гонку за ліки для схуднення (ВІДЕО)
Компанія Eli Lilly підтвердила, що її агоніст рецепторів GLP-1 орфоргліпрон допомагає скинути вагу на 14,7% за 36 тижнів. Результати встановлюють високі стандарти для таких конкурентів, як Pfizer, але залишають достатньо простору для поліпшень переносимості.2023-06-27T09:35:10 -
Епідемія ожиріння пов'язана із несподіваним фактором: нове дослідження
Нове дослідження, опубліковане в журналі Nature Metabolism, показало зниження рівня базального метаболізму (BMR) у людей в США та Європі за останні три десятиліття. Цей фактор може потенційно сприяти зростанню епідемії ожиріння в обох регіонах.2023-06-07T21:24:15 -
Вживання канабісу пов’язане з розвитком шизофренії: дослідження (ВІДЕО)
Нові дослідження свідчать, що ймовірність розвитку шизофренії у молоді, яка вживає канабіс (марихуану) підвищується.2023-05-25T20:19:38 -
Паралізований чоловік знов почав ходити завдяки "цифровому мосту", що "перетворює думки на дії" (ВІДЕО)
Паралізований чоловік зміг знову ходити після того, як зв'язок між його головним і спинним мозком було відновлено за допомогою бездротового "цифрового мосту".2023-05-25T17:41:22 -
Лимонна вода допоможе схуднути і проти раку. Чи правдиві ці твердження
Лимонну воду широко вживають для профілактики здоров'я, оскільки вона містить такі поживні речовини, як вітамін С та лимонну кислоту. В Інтернеті також багато заяв про те, що вона сприяє зниженню ваги, допомагає у боротьбі з раком та запобігає утворенню каменів у нирках. Але наскільки вірні ці твердження?2023-05-25T07:59:28