ІСТИНА І ТРАДИЦІЇ

Видалення зуба: показання, підготовка, етапи

Велика Епоха

Для видалення зубів має бути відповідне чітке показання. Якщо зуби видаляти просто так, це може призвести до частих інфекцій та довгострокових медичних ускладнень. Отже, на здорових зубах, що залишилися, можуть розвинутися інфекції, та ви можете страждати від різних захворювань порожнини рота. Ми проводимо найбезболісніше видалення зуба у Києві та лише за наявності показань!

Видалення зуба: показання, підготовка, етапи

Терапевтичні показання до видалення зубів:

  • зуби сильно пошкоджені карієсом або затриманими коренями;
  • хвороба пародонту пошкодила їх;
  • зуби пошкоджені травмою обличчя, та їх неможливо відновити
  • проблеми із скупченням або утрудненням прорізування (як молочних, так і постійних зубів)
  • стоматолог повинен домогтися нормального прикусу для протезування
  • під час операції пухлини видаляється будь-який зуб, розташований в зараженій області

Видалення зуба: показання, підготовка, етапи

У разі профілактичних показань важливо якомога раніше видалити проблемні зуби. Якщо їх не лікувати, вони можуть призвести до подальших інфекцій та ускладнень. Пацієнти також можуть отримати тілесні ушкодження. Частіше усього профілактичному видаленню піддаються зуби мудрості.

Існують також протипоказання, однак вони мають тимчасовий характер та пов’язані із загальною медичною стабільністю пацієнта, якому планується дана процедура.

Коли справа доходить до підготовки до операції, важливо точно знати, який тип видалення на вас чекає.

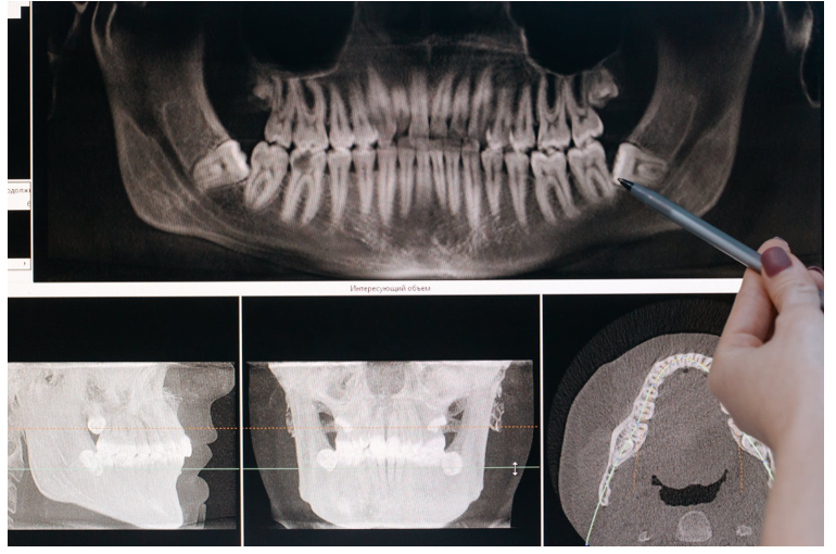
Перш ніж видаляти зуби, стоматолог запропонує зробити рентгенівські знімки. Тип рентгенівських знімків буде залежати від того, з якої причини вам показана ця процедура.

Для простого хворого зуба може бути достатньо звичайного рентгена зуба, який ви зазвичай отримуєте під час відвідування стоматолога раз на два роки. Однак для видалення зубів мудрості може знадобитися повний панорамний рентген, щоб стоматолог бачив всю внутрішню структуру зубів та ясен, які можуть постраждати.

Важливо перед процедурою повідомити лікарю-стоматологу свою історію захворювань. Так, наприклад, із захворюваннями серця або ослабленою імунною системою, можуть бути призначені профілактичні антибіотики. Цей препарат використовується лише як запобіжний захід для запобігання інфекціям.

Уникайте їжі за 12 годин до операції, якщо у вас заплановане видалення під загальною анестезією, щоб запобігти нудоті під час та після проведення процедури.

Крім того, уникайте паління після процедури, оскільки це може уповільнити процес загоєння та збільшити ризик розвитку сухої лунки, що може мати серйозні наслідки.

Перед початком видалення стоматолог зробить рентгенівський знімок зуба. Це зображення допоможе оцінити кривизну та кут кореня зуба.

Після того, як місцевий анестетик оніміє область, лікар приступає до екстракції. Видалення зуба може бути цілим, або ж частинами.

Якщо зуб прихований під тканиною ясен або кісткою, може знадобитися зробити надріз або видалити заважаючу ділянку кістки.

Під час процедури ви не повинні відчувати біль, однак може бути присутнє відчуття тиску на зуб. Також є можливість почути скрегіт та тріск кісток або зубів.

У разі, якщо ви все ж таки відчуваєте біль, негайно повідомте свого лікаря про це. У такому разі, буде призначено більшу дозу знеболюючого засобу.

Видалення зуба: показання, підготовка, етапи

Після екстракції можуть знадобитися накладення швів або додаткові процедури для контролю кровотечі. Стоматолог покладе товстий шар марлі на місце вилучення і змусить людину вкусити його, щоб поглинути кров і почати процес згортання.

Стоматолог може призначити ліки для полегшення болю та запалення після процедури. Однак зазвичай безрецептурних ліків, таких як ібупрофен, достатньо, щоб контролювати біль після звичайної екстракції.

Люди можуть відчувати легкий набряк обличчя в області витягування. Це нормально. Прикладання льоду до обличчя може допомогти зменшити набряк.

Після повного загоєння лунки, вам знадобиться імплантація нового зуба на місце видаленого. Більш детальніше про імплантати та процедуру вам допоможе дізнатися стаття про імплантацію.